All published articles of this journal are available on ScienceDirect.
Aesthetic Restoration of an Anterior Incisor: Post and Core Management - A Case Report
Abstract
Introduction
Rehabilitation of endodontically treated anterior teeth presents a clinical challenge that requires a careful balance between esthetics, function, and biomechanical stability. This case report describes a conservative, prosthetically driven approach using a prefabricated fiber post and a zirconia crown for the restoration of a fractured maxillary lateral incisor.
Case Presentation
A 34-year-old female patient presented with a traumatically fractured maxillary lateral incisor (22). Following endodontic therapy, a prefabricated fiber-reinforced post was cemented with dual-cure resin cement, followed by composite core build-up and restoration with a translucent zirconia crown. The treatment successfully restored tooth form, function, and esthetics with satisfactory shade matching and patient acceptance.
Conclusion
The combined use of fiber-reinforced posts and zirconia crowns offers a conservative, reliable, and esthetically favorable solution for anterior tooth rehabilitation. Their dentin-like elastic properties and optical compatibility make them suitable for long-term functional and cosmetic success.
1. INTRODUCTION
When the remaining coronal tooth structure is inadequate to provide sufficient resistance and retention for a definitive restoration, reinforcement of the root canal–treated tooth becomes an essential step for successful prosthetic rehabilitation. Endodontically treated teeth frequently exhibit substantial structural loss as a result of trauma, caries, or repeated restorative procedures, which significantly complicates their clinical management and long-term prognosis [1, 2].
In recent years, a wide range of materials and techniques has been introduced to facilitate the restoration of teeth with compromised coronal structure. Among these options, prefabricated fiber-reinforced posts have gained considerable clinical acceptance. Their increasing popularity can be attributed to favorable esthetic properties, simplified clinical handling, and advantageous biomechanical behavior. Owing to an elastic modulus that closely approximates that of natural dentin, fiber posts promote more uniform stress distribution within the root, thereby reducing the likelihood of catastrophic root fractures under functional loading. Additionally, their compatibility with adhesive luting systems eliminates the need for complex laboratory procedures associated with custom-cast posts, while enhancing retention and long-term stability [1, 2].
With growing emphasis on esthetics and procedural efficiency in restorative dentistry, post selection must address both functional and cosmetic demands. Prefabricated fiber posts satisfy these requirements while demonstrating adequate durability and predictable clinical performance. In teeth exhibiting moderate to severe coronal destruction, fiber posts provide reliable support for core buildup and definitive restorations, aiding in the re-establishment of proper tooth form and function. When additional retention is required, they offer a conservative alternative that reinforces the restoration without compromising the structural integrity of the remaining root dentin [2].
While cast posts provide rigidity and adaptation, they often require greater dentin removal and pose a higher risk of root fracture. In contrast, fiber-reinforced posts, with their dentin-like modulus of elasticity, superior Aesthetics, and adhesive compatibility, are more suitable for anterior restorations.
The selection of an appropriate post system is primarily influenced by canal morphology and the amount of remaining tooth structure. Cast post-and-core systems may be indicated in cases involving irregular, excessively flared, or anatomically compromised canals where prefabricated systems cannot achieve adequate adaptation. However, when canal dimensions permit placement without unnecessary dentin removal, prefabricated fiber posts are generally preferred due to their conservative nature. Their translucency and favorable optical properties make them particularly suitable for use in the anterior esthetic zone, especially when combined with all-ceramic restorations such as zirconia crowns [2].
The present case report demonstrates a contemporary, minimally invasive restorative approach that adheres to current prosthodontic principles. It illustrates the clinical application of prefabricated fiber-reinforced posts in combination with zirconia crowns to restore both esthetics and function in a severely compromised anterior tooth [3].
Fiber-reinforced posts provide notable esthetic and biomechanical advantages, particularly in anterior restorations where preservation of tooth structure and optical integration are of paramount importance. Evidence from long-term clinical studies has reported favorable survival rates and high levels of patient satisfaction associated with fiber post systems in the esthetic zone. Furthermore, the use of adhesive resin-based luting cements enhances post retention and promotes uniform stress distribution, thereby improving the integrity of the post–core–crown complex and contributing to the longevity of the restoration [4].
2. CASE REPORT
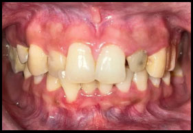
A 34-year-old female patient presented to the Department of Prosthodontics and Crown & Bridge at Santosh Dental College and Hospital, Ghaziabad, following a traumatic fall. Her chief complaint was a fractured maxillary anterior tooth accompanied by compromised facial esthetics. The patient had no previous restorative or endodontic treatment on the affected tooth and maintained satisfactory oral hygiene. Clinical examination revealed no evidence of pain, swelling, or associated soft-tissue pathology. Intraoral evaluation identified an Ellis Class III fracture involving the maxillary left lateral incisor (tooth 22), as illustrated in Fig. (1). Radiographic assessment revealed loss of tooth structure involving the enamel and dentin with pulpal involvement. Pulp vitality testing further confirmed that the tooth was non-vital. The traumatic incident was isolated, and this clinical context guided our decision to use a conservative, adhesive fiber post-and-core system to preserve residual tooth structure.

PRE-operative.
3. PROCEDURE
It was recommended that the patient undergo root canal therapy, a post and core build-up, and finally a final crown restoration. After administering local anesthesia, an endodontic access cavity was created, the canal orifices were identified, and the working length was established. The canal was biomechanically prepared up to size 25 with a 0.06 taper, followed by obturation using the single-cone technique in conjunction with AH Plus sealer (Fig. 2).

PRE-operative radiograph.
Peeso reamers (sizes 1 and 2) were used for post-space preparation, making sure that 3–4 mm of gutta-percha was retained at the apex. Next, a dual-cure resin cement was used to lute a prefabricated fiber-reinforced post into the canal (Fig. 3). Once the fiber post was in position (Fig. 4). Composite resin was then used to build up the core (Fig. 5). Occlusal view of the core build-up is shown in Fig. (6). Finally, a highly translucent all-ceramic crown was placed, restoring the tooth’s function and aesthetics in alignment with the surrounding dentition in occlusion (Fig. 7) and Occlusal view (Fig. 8).

Post space preparation.

Fiber post in position.

Core build up.

Core build up- occlusal view.

Post operative.

Post operative - occlusal view.
4. DISCUSSION
Rehabilitation of a traumatically injured, endodontically treated anterior tooth requires careful consideration of multiple clinical factors. These include achieving adequate retention, evaluating the quantity and quality of remaining sound tooth structure, controlling occlusal loading, minimizing the risk of microleakage, and attaining acceptable esthetic outcomes. Endodontic procedures and traumatic insults often result in considerable loss of tooth structure, thereby necessitating the use of post-and-core restorations, particularly in teeth with extensive coronal destruction [5, 6].
Fiber-reinforced posts offer several advantages when compared with conventional post systems. Their ability to distribute functional stresses more favorably, along with their compatibility with adhesive bonding techniques, contributes to improved biomechanical performance. In addition, their inherent translucency facilitates harmonious integration with all-ceramic restorations, enhancing the overall esthetic result [7].
The elastic modulus of fiber-reinforced posts closely approximates that of dentin, which has led to their increased clinical preference, especially in esthetically demanding regions. This dentin-like behavior allows for more uniform transmission of masticatory forces along the root structure, thereby reducing stress concentration and the associated risk of root fracture. Numerous studies have demonstrated the favorable flexural properties and stress distribution patterns of fiber posts, reporting a lower incidence of catastrophic failures when compared with rigid metallic post systems [8].
The precise synchronization of several biomechanical and restorative elements, such as ideal ferrule design, suitable post length and diameter, the use of trustworthy luting agents, and effective core build-up methods, is necessary for the long-term success of these prosthodontic restorations [9].
Recent systematic reviews and clinical studies (2020–2024) have reinforced these findings. Fiber-reinforced posts have demonstrated fracture resistance that is comparable to, and in some reports superior to, that of metallic and ceramic post systems, with a reduced incidence of unfavorable outcomes such as root fracture and post debonding. Their favorable fatigue resistance and compatibility with adhesive luting protocols contribute to predictable clinical performance and improved longevity of the restoration.
When used in combination with zirconia crowns-materials well known for their excellent esthetic qualities, biocompatibility, and high mechanical strength-fiber post systems provide a dependable and visually harmonious solution for the rehabilitation of anterior teeth. Current evidence supports the preference for zirconia-based restorations over conventional metal-ceramic crowns, citing advantages such as superior optical characteristics, reduced wear of opposing dentition, and improved peri-gingival tissue response.
In conclusion, the combined use of fiber-reinforced posts and zirconia crowns constitutes an evidence-based, minimally invasive, and clinically stable approach for the restoration of anterior teeth. This treatment strategy is consistent with contemporary prosthodontic principles that emphasize conservation of tooth structure, favorable biomechanical behavior, and long-term esthetic success.
5. LIMITATIONS
This case report represents an isolated clinical instance and, therefore, its findings cannot be generalized to a broader population. The outcomes, while clinically satisfactory, reflect a short-term evaluation and may not account for potential long-term biomechanical or aesthetic changes. Future research involving larger sample sizes, extended follow-up periods, and comparative in vitro and in vivo studies assessing various post systems is recommended to validate these observations and strengthen the evidence base supporting fiber post and zirconia crown restorations in anterior teeth.
CONCLUSION
Glass fiber–reinforced composite posts used in conjunction with composite core materials represent a conservative, effective, and esthetically acceptable treatment option for the rehabilitation of anterior teeth compromised by trauma or endodontic therapy. This restorative approach allows preservation of the remaining tooth structure while providing adequate support for definitive restorations, particularly in the esthetically demanding anterior region.
Compared with traditional post systems, fiber-reinforced posts offer several clinical advantages, including favorable stress distribution, compatibility with adhesive bonding protocols, and optical properties that permit harmonious integration with all-ceramic restorations. However, the long-term success of such restorations depends on careful coordination of multiple biomechanical and restorative factors. These include the establishment of an adequate ferrule, the appropriate selection of post length and diameter, the use of reliable luting agents, and the meticulous execution of the core build-up procedure. Adherence to these principles contributes to the durability and functional stability of restorations and to high levels of patient satisfaction in anterior prosthetic rehabilitation [10].
Studies by de Oliveira et al. (2021) and Singh et al. (2023) reported higher survival rates and reduced failure propagation in anterior teeth restored with fiber posts, due to their modulus compatibility and energy absorption characteristics. Similarly, Martínez-Sahuquillo et al. (2022) confirmed that fiber posts outperform metal posts in terms of biomechanical harmony and aesthetic integration in the anterior zone [11-13].
AUTHORS’ CONTRIBUTIONS
The authors confirm their contributions to the paper as follows: R.K.G., A.B.: Study conception and design; A.D., M.Y.: Data collection; M.J., N.G.: Analysis and interpretation of results; B.D.: Draft manuscript. All authors reviewed the results and approved the final version of the manuscript.
AVAILABILITY OF DATA AND MATERIALS
The data and supportive information are available within the article.
ACKNOWLEDGEMENTS
Declared none.

